人工智能輔助胸腔X光診斷系統

TFDA
FDA Logo Monogram_white

氣胸檢測系統

肋膜積水檢測系統

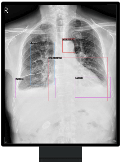
產品介紹
提供心、肺、骨骼等15項相關病徵偵測,輔助醫師在龐大影像數量下進行快速判讀,有助於醫師作出快速診斷與決策,提高醫療照顧品質

平均
準確率

0

3大項主類別,15種病徵判斷

15

types

應用效益

輔助醫師快速閱片,並降低判讀上遺漏的風險
協助醫師更專注於異常影像判讀與分析,降低耗費於正常影像分析與撰寫報告時間
院內對應科室、健檢中心、醫療巡迴車
更多產品細節
CXR_CASE 2

Others

人工智能輔助胸腔X光診斷系統

logo_EFAI_white

想了解本產品更多資訊?


    合作案例

    應用醫療、壽險與保健食品產業等多元領域的解決實例

    產品與服務

    打造高效的數位醫療工作模式

    急性主動脈症候群檢測系統

    急性主動脈症候群檢測系統

    急性主動脈症候群檢測系統

    急性主動脈症候群檢測系統 優先判讀 警示通知 產品介紹 藉由

    放射治療器官勾勒系統

    放射治療器官勾勒系統

    放射治療器官勾勒系統

    於電腦斷層影像上自動勾勒80項危及器官,含頭頸、骨盆淋巴結區域。具高度相容性,適用市面上任何品牌的治療計劃系統,能與各廠牌CT 、TPS 整合

    骨閃爍顯像電腦輔助偵測平台

    骨閃爍顯像電腦輔助偵測平台

    骨閃爍顯像電腦輔助偵測平台

    藉由人工智慧演算法分析全身骨閃爍顯像,以輔助核子醫學科之專業醫師檢視熱區分佈情形,可偵測疑似骨轉移,並同時標示出疑似區域,提供臨床醫師參考

    圖像記錄傳輸系統

    圖像記錄傳輸系統

    圖像記錄傳輸系統

    為管理醫療數位影像傳輸協定資料之系統 ,可以顯示、處理、儲存以及傳輸符合 DICOM協定之影像,可以儲存病患影像及資訊,並提供篩選、數位操作及量測的功能

    人工智能輔助胸部X光診斷系統

    人工智能輔助胸部X光診斷系統

    人工智能輔助胸部X光診斷系統

    提供心、肺、骨骼等15項相關病徵偵測,輔助醫師在龐大影像數量下進行快速判讀,有助於醫師作出快速診斷與決策,提高醫療照顧品質

    放射治療頭頸部器官勾勒系統

    放射治療頭頸部器官勾勒系統

    放射治療頭頸部器官勾勒系統

    快速分析電腦斷層掃描影像,進行頭頸部的17個危及器官初步輪廓勾勒,輔助醫師完成放射治療計畫,加速病患治療排程時間

    腦出血檢測系統

    腦出血檢測系統

    腦出血檢測系統

    針對非顯影電腦斷層掃描(non-contrast CT)影像精準識別有無腦出血及五種顱內出血

    心肌灌流影像分析報告系統

    心肌灌流影像分析報告系統

    心肌灌流影像分析報告系統

    提供核子醫學科醫師完整檢視與快速編輯心肌灌流檢查患者的報告,縮短診斷時間,加速臨床決策

    骨齡輔助診斷系統

    骨齡輔助診斷系統

    骨齡輔助診斷系統

    評估2至16歲孩童及青少年的左手X光影像,推算出骨骼目前年齡;可輔助醫師檢視骨齡發展為正常、遲緩或過快,作為後續診斷及治療依據

    心胸比估算系統

    心胸比估算系統

    心胸比估算系統

    自動標示心臟最大直徑及胸腔最大內徑,進而快速計算出心胸比數值;可輸出結構化報告,優化報告產出效率,協助醫師更專注於臨床決策與照護

    急性心肌梗塞偵測軟體

    急性心肌梗塞偵測軟體

    急性心肌梗塞偵測軟體

    分析12導程心電圖,協助醫療專業人員快速識別急性心肌梗塞,以利提高急性心肌梗患者及早治療的機會

    心電圖分析軟體

    心電圖分析軟體

    心電圖分析軟體

    適用於門診與急診科別,針對12導程心電圖檢查自動化心律數據分析,並輸出心律判讀結果,輔助臨床醫師快速辨識患者心臟異常進以適當處置。

    prev
    next